La ortodoncia es la especialidad de la odontología encaminada al diagnóstico, prevención y tratamiento de las irregularidades de posición dentales y faciales. Su objetivo es corregir las malas posiciones dentarias, mejorando la estética de la sonrisa y proporcionando una buena función masticatoria. El tratamiento ortodóncico requerirá llevar aparatos correctores, para llevar a los dientes, labios y huesos maxilares a su alineación correcta y alcanzar así un perfecto equilibrio facial y funcional.
En nuestra clínica ofrecemos el sistema más adecuado a cada caso, poniendo a tu disposición diferentes técnicas:
- Bracktes metálicos
- Ortodoncia invisible – Invisalign
- Brackets cerámicos
¿A QUE EDAD PUEDO EMPEZAR UN TRATAMIENTO DE ORTODONCIA?
Cualquier persona puede someterse a un tratamiento de ortodoncia, tanto los niños como los adultos, ya que los dientes se pueden mover a su posición correcta en cualquier momento, por lo que no existe límite de edad. Aunque, dado que el correcto seguimiento del crecimiento de los huesos maxilares es fundamental para un buen tratamiento de ortodoncia, se recomienda que los niños realicen su primera revisión a los 6 años. Muchos problemas de ortodoncia se corrigen fácilmente cuando el tratamiento se inicia en una fase temprana (ortodoncia preventiva). Esperar hasta la aparición de los dientes definitivos, ó hasta que el crecimiento óseo esté completado, puede hacer que el tratamiento de ortodoncia sea más complicado. No obstante, se recomienda hacer revisiones cada vez que se comprueba que se ha producido algún cambio en la posición de los dientes.
Una sonrisa comprometida por la mala posición de los dientes puede llegar a mermar el grado de autoestima personal y de confianza en uno mismo, condicionando negativamente las relaciones con los demás, como taparse la boca al sonreír, evitar las fotografías, etc. Hoy en día las primeras impresiones están basadas muchas veces en la apariencia física de las personas, y la boca y los dientes juegan un papel muy destacado.
CAUSAS DE PROBLEMAS ORTODONCICOS
La mayoría de los problemas ortodóncicos o maloclusiones son hereditarios. Las irregularidades mandibulares, dentales o faciales se suelen heredar (dientes apiñados, demasiado espacio entre los dientes, dientes que sobran o que faltan,…).
Los no hereditarios se pueden deber a diversas causas, como son los accidentes, el uso demasiado prolongado de chupete, chuparse el dedo, pérdida prematura de dientes de leche, etc.
Lo importante es que, se trate de causas heredadas o sobrevenidas, este tipo de problemas afectan no solo a tener unos dientes bonitos y alineados, sino también al correcto desarrollo mandibular, facial y funcional del paciente.
PROBLEMAS QUE REQUIEREN DE ORTODONCIA
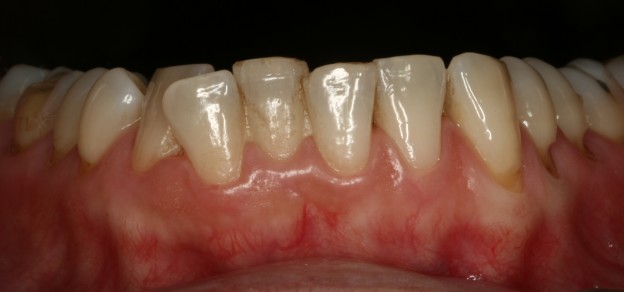
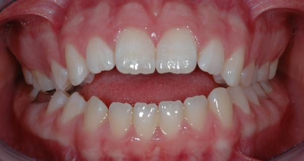
Apiñamiento: Los dientes se pueden apiñar por tener un arco dental pequeño, dientes excesivamente grandes, dientes que no acaban de salir o una mala oclusión.

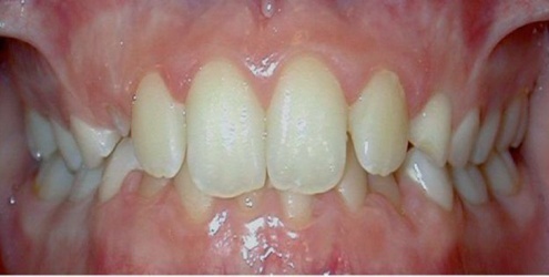
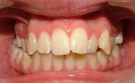
Sobremordida: Sucede cuando los dientes frontales inferiores cierran por debajo de los superiores, quedando escondidos por éstos. Esta disfuncionalidad provoca problemas en el paladar y mucha incomodidad, además de que los dientes superiores se desgastan más.

Dientes superiores salidos (resalte): Se produce cuando los dientes superiores sobresalen más allá de su arco y cierre normal. Puede deberse a un mal encaje de los dientes de atrás o a un crecimiento desigual de los maxilares. Este defecto también lo puede causar el chuparse el dedo.

Dientes inferiores salidos: Sucede cuando los dientes inferiores están más adelantados que los superiores. No es muy frecuente pero es preciso corregir el correcto crecimiento de los maxilares en una edad temprana.

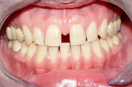
Espacios entre dientes: Se puede producir por diversos motivos (falta de algún diente, dientes excesivamente pequeños, arco dental muy ancho,…). , lo cual puede originar problemas en las encías.

Mordida abierta: Se produce cuando los dientes incisivos superiores y los inferiores no se tocan al morder. Esto provoca que sean los dientes traseros los que ejercen toda la presión al morder, afectando a la masticación y al desgaste de los mismos.

Mordida cruzada: Tiene lugar cuando los dientes superiores al morder encajan por dentro de los inferiores. Es un caso muy común y habitualmente tratado, ya que afecta notablemente la eficacia masticatoria.

